Unlocking Healing with Laser Therapy

A gentle, non-invasive approach to pain relief.

 " Laser therapy is healing at the cellular level. The light gets absorbed through the skin into the cells and converts into energy - giving your cells a boost of power (like Popeye and his spinach). Once your cells have that extra energy, they can focus on doing their job more effectively. It can appear like healing happens faster because your cells are energized and working efficiently."

Melissa Madsen, RMT

BIOFLEX Cold laser

What is bioflex Laser Therapy?

Bioflex Laser therapy is the use of monochromatic light emission from a low intensity laser diode or an array of red and infrared lights through the many luminous diodes to treat musculoskeletal injuries, acute, chronic and degenerative conditions and can also heal new and old wounds and scars. The array, which is a broad light source, is place on top of the affective area. This allows the photon energy to penetrate through the tissue, where it targets the cells, giving the mitochondria (the power house of the cell) an energy boost, restoring normal cell function and enhancement of the body's healing process.

Cold Laser Therapy is a non-invasive approach to give your body the energy boost so it can focus on healing an affected area at a cellular level.

 

What are the Effects of Cold Laser Therapy? 

 Short Term Effects

  • Production of the body's natural pain inhibitors
  • Boosts the body's natural healing processes  

Long Term Effects

  • Improved cellular metabolism 
  • Increased protein production (your tissue’s building blocks)
  • Neurotransmission is facilitated 
  • Mitochondrial activity is stimulated (like recharging your cells “battery”)
  • Promotes formation of new cells (a cell dies after 48 hrs, but not before it tells new cells what to do)

What conditions does Cold Laser treat?

Laser therapy is an important healing tool in the treatment of a variety of conditions, including:

Soft tissue injuries

  • Tendon injuries 
  • Pain from injures to Back,  neck, legs etc.
  • Carpal Tunnel Syndrome
  • Medial and lateral Epicondylitis (tennis and golfer’s elbow) 
  • Many Sprains (ligament injuries) and strains (muscle injuries)
  • Bone fractures (a break in bone exposes injured cells)
  • Plantar fasciitis 

Degenerative joint conditions

  • Rheumatoid arthritis 
  • Osteoarthritis

Neurogenic pain

  • Herpes Zoster (shingles)
  • Reflex Sympathetic Dystrophy (RSD)
  • Complex Regional Pain Syndrome (CRPS)
  • Post-traumatic injury
  • Trigeminal neuralgia 
  • Fibromyalgia 
  • Diabetic neuropathy  

Is BIOFEX Laser Therapy harmful or painful? 

BIOFLEX Lasers is using light therapy which is cold to the touch.  Uses include tissue stimulation (the cells that are injured have insufficient strength to do their function.

The array emits red light and infrared light over a large area. This is cold to touch (there is a slight warming that is about as hot as my hand at most)

As the laser is in operation, most people during the treatment do not feel immediate effects.

How many treatments are do I need to notice results?

Treatment plans vary from 3 to 10+ visits depending on the type of injury. Acute conditions respond more quickly than chronic conditions. While some people feel improvement right after first treatment,  don’t be surprised if it takes a few visits to notice significant improvement. 

Patient injuries and outcomes with BIOFLEX Laser Therapy

60 year old male Patient with chronic osteoarthritis in dominant thumb: his symptoms were deep irritation of the thumb with apparent heat coming from thumb due to weeks of inflammation. He was in process of packing house for a move to Ottawa.

He was skeptical, only at appointment because wife insisted. Before treatment my speech included the above statement: “sometimes people feel right away, sometimes it takes a few treatments.” At end of first treatment I asked if he noticed a difference. His response was with a laugh at the question and a solid “no!”

Second treatment (with a day off between) I asked before applying the laser, “is there a reduction in pain?” to which his reaction was shock that there actually was no pain the next day.  He was able to continue to pack, the pain came back at end of day. He signed up for 4 more treatments. Due to time constraints because of the move, he couldn’t continue his treatments.  BUT! the inflammation and pain in his thumb had completely disappeared.

I recommended he continue the treatments and found a few places near his new home that offer bioflex laser therapy!

89 year old Female with open would the size of silver dollar. Cause of injury: air cast constantly rubbing on same spot causing open wound.  Skin was completely gone, Fascia was gone, could see muscle.

Although this is out of the scope of massage therapy, this treatment was at the request of one of my regular patients’ whose mom was suffering with a lot of pain.

Treatment was over a span of a month 2-3 times a week. The last treatment, the wound was size of dime. The daughter informed me it took another few weeks before it completely closed.

45 year old male with post hernia surgery. Symptoms include excessive bruising from surgery. 6 treatments over 2 week period. (Before and after pictures below)

43 year old female acute ankle sprain. Injured on Friday morning, worked 8 hr shift which included standing for most of day. Did laser at end of same day. Symptoms were extreme pain from sprain, inflammation triple size of ankle and start of bruising. During laser treatment, patient commented how it felt like pulsating sensation, and pain seemed to not be there. After 30 min treatment, patient announced there was no pain. Swelling seemed to be less.

Second treatment was 12 noon following day, as patient scheduled for camping trip for 3 days. Wanted to at least get one more treatment before heading out.  When asked how feeling, patient surprised that morning there was zero pain, to the point where she was questioning if it was a dream! Noted swelling reminded that there was an injury. Also noted there was not bruising.

Patient refused further treatment as she wanted to see how long 2 treatments got her. It took 1 1/2 weeks to have zero inflammation. No pain during that time.  (This injury happened to me, Melissa Madsen RMT, and I was in shock how effective and everlasting 2  laser treatments got me. A lateral epicondylitis- tennis elbow: this took 7 treatments over 3 weeks to get rid of pain, but the increase mobility was a surprising outcome! (Same person different outcomes!)

70 Year old Female right Knee replacement. December 10, 2018, first day after released from hospital she contacted me for laser treatments. Symptoms: pain, inflammation and Staples still in. 7 laser treatments over 4 weeks. Swelling decreased quickly. She sent me a picture February 2019 with a side by side of her left and right knee. She was shocked how quickly her knee felt better after the laser treatments, and how her scar on the right knee after only 2 and a half months of healing looked like her first knee replacement on the left looked after 1 year of healing! 

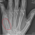
76 Year old Female with spiral fracture of 5th metacarpal (pinky)

Initial onset of injury was FOOSH (fall on outstretched hand). Symptoms included pain in hand, bruising located on palm and along pinky finger stopping at wrist and evident inflammation.   7 laser treatments over 12 day span. After 2nd treatment, there was a noticeable reduction of swelling. Continued treatment trying to reduce inflammation further. After 12th treatment, her Dr X-rayed her hand, as pain was still apparent at specific spot, which I suspected meant a break. It was confirmed it was a spiral fracture which is a serious injury without a brace and physiotherapy.

 

NB: this was my mother. We were told to go immediately to the ER, as it would mean a faster treatment with the fracture clinic. My mom was told after 2 weeks of rehabilitation that she would need to continue wearing her wrist brace for 6-8 weeks more.  Full recovery without any Re injury.

 

2 Year old Golden Retriever Post Spay. treatment 4 laser therapy treatments. Symptoms: excessive swelling with slight infection on suture. Outcome: reduction of inflammation and infection not noted by Vet.

Slideshow image
Slideshow image
Slideshow image
Slideshow image
Slideshow image
Slideshow image
Slideshow image
Slideshow image
Slideshow image
Slideshow image
Slideshow image
Slideshow image
nav image
nav image
nav image
nav image
nav image
nav image
nav image
nav image
nav image
nav image
nav image
nav image

Laser Therapy

Cold Laser therapy using Bioflex Laser. Billed under Massage Therapy.

304 Brucedale

304 Brucedale Avenue East,
Hamilton, ON
L9A 1R1

905-769-3355

info@eastmountainmassage.com

View Staff & Treatments

E43rd St

136 East 43rd St,
Hamilton, ON
L8T3B9

905-769-3355

info@eastmountainmassage.com

View Staff & Treatments

Illuminate Your Path to Healing

Fees for Laser Therapy

Initial laser     $115.00
15 min laser    $50.00
30 min laser    $75.00
45 min laser    $95.00
60 min laser    $110.00
75 min Laser    $140.00

Packages available

PKG 1

2 x 30 min laser treatments @$65 each $130 (Regular $150)

PKG 2

4 x 30 min @$66.25 each $265 (regular $300)

PKG 3

4 X 60 MIN @$98.75 each $395 (regular $440)

PKG 4

3 x 15 min @$45 each $135 (regular $150)

PKG 5

6 x 15 min @$43 each $240 (regular $300)

PKG 6

10 x 15 min @40 each $400 (regular $500)

 

BOOK NOW